В медицине наряду с традиционными, научно обоснованными методами терапии, всегда присутствовали методики, имеющие хороший практический результат, но не имеющие стройного научного обоснования. Это и иглотерапия, где до сих пор не найден материальный субстрат акупунктурных точек и каналов, это и гомеопатия, где не получилось обосновать механизм воздействия на организм препаратов в 30 разведении, в котором уже отсутствуют молекулы лекарственного вещества в крупке. Это и некоторые техники мануальной терапии, например, прикладная кинезиология, в которой мышечное тестирование пациента проводится через руку ассистента и отсутствуют материальные каналы передачи информации.
К сожалению, академическая наука так и не восполнила эти пробелы в научном мировоззрении. Ну, а последние 50-60 лет человечество сосредоточилось, вообще, на формирование расширяющегося потребления и удовлетворения потребительства. Культ хлеба и зрелищ поглощает все ресурсы мира.
Но, благодаря энтузиастам, движение вперед не утрачено. Сначала Эйнштейн научно обосновывает взаимосвязь массы и энергии, потом Планк связывает энергию с частотой волны. Луи де Бройль, предполагает, что волновые свойства характерны не только для света, но и для вещества и любая масса должна иметь корпускулярно-волновой дуализм.
Современная физика оперирует четырьмя состояниями материи: твердыми телами, жидкостями, газами, ионизированными элементарными частицами (плазмой), и энергия является динамической мерой движения материи, а, как утверждают отдельные ученые, информация отражает динамическую меру её формы и связана с энергией и массой объекта. Сначала появились физические теории, описывающие информационные взаимодействия в природе: теория информации Клода Шеннона (1948 г.), кибернетика Норберта Винера и рассматривали информацию, как некоторую математическую абстракцию. В теории относительности под названием «теория Эйнштейна-Картана» добавлена еще одна степень свободы материальной точки – спин или вращение вокруг оси, которые формируют торсионные поля (носители информации) и рассматриваются, как разновидность материальных полей. Русские ученые И.И. Вернадский, К. Э, Циолковский, Л. Н. Гумилев подготовили философскую основу, рассуждая о существовании информационного поля. А российские учёные Г.И. Шипов и А.Е. Акимов разрабатывали практическую теорию торсионных полей. Окончательно сформулировал ее Т. Ван Ховен. Торсионные поля порождаются спином, т.е., угловым моментом вращения, любой вращающийся объект создает торсионное поле. Торсионные поля обладают рядом уникальных свойств. Они переносят информацию, не перенося энергии, распространяются практически мгновенно на любые расстояния и не экранируются известными природными средами.
Электромагнитные поля всегда содержат торсионную компоненту, что является важным фундаментальным фактом. Торсионное поле будет наблюдаться как в электростатическом поле, так и в магнитном. Торсионные поля делятся на правополяризованное торсионное (информационное) поле и левополяризованное торсионное (энтропийное) поле.
Взаимоотношение энергии и информации описано в спорной, в научных кругах, теории – теории квантовой энтропийной логики.
1. Информация является материальной категорией, так же как энергия и масса системы.
2. Так как информация материальна, то она подчиняется закону сохранения энергии. Информация не может исчезнуть без следа, не может появиться ниоткуда. Общее количество информации в закрытой системе – величина постоянная.
3. Любой материальный объект биологической или небиологической природы, поглощая информацию из окружающей среды, повышает уровень структурной организации, то есть становится более сложноорганизованным, более стабильным, что обусловлено нарастанием правополяризованного компонента торсионного поля.
4. Любой объект, который теряет информацию, одновременно снижает уровень своей структурной организации, то есть становится менее стабильным и более дезорганизованным и это обусловлено нарастанием левополяризованнного компонента торсионного поля. В отношении биологических объектов потеря структурной организации (информации) выражается в снижении адаптивных реакций организма, развитии заболеваний, а, в конечном счете, в гибели организма.
Следует сказать, что теория торсионных полей не всеми признана. Элементарную частицу информационного поля обнаружить пока не удалось. Но время, когда микромир ограничивался лишь частицами вещества уже позади. Открыты частицы-переносчики взаимодействия, кванты силовых полей (W и Z бозоны, глюоны, фотоны и др.) Открытие хиггсовского бозона - это первый шаг к познанию обширного хиггсовского поля, где базон это только «кусочек» хиггсовского поля. А еще впереди исследование частиц загадочной темной материи и многое чего еще, может, и торсионные поля будут легализованы в научном сообществе.
Кранмер говорит, что вся квантовая механика — это в каком-то смысле эзотерика, то есть знание, недоступное для непосвященных. Поэтому, слегка удивительными кажутся и методы лечения, диагностики, разработанные с опорой на эти открытия и предположения.
В 1988 г в Институте прикладной психофизики С. П. Нестеров создал аппарат Метатрон, в котором он предложил использовать особые датчики для фиксации излучения при исследовании органов организма. Он опирался на исследования московских ученых Петра Гаряева и Георгия Тертышного, которые обнаружили, что молекулы ДНК, хромосомы и белки способны генерировать когерентное торсионное излучение и участвовать в волновом обмене информации.
Триггерный датчик Нестерова представляет собой широкополосный генератор белого шума, модулируемый на частотах 1.8-8.2 Гц.
Происходит выделение резонансов от биологических структур исследуемого с анализом их характера, выявления соотношения право и левополяризованных компонентов в торсионном поле и создании виртуальной модели органов с демонстрацией нормы или патологии в виде символов шкалы Флейндлера.
Каждый орган и каждая клетка обладают своими собственными, присущими только им, специфическими колебаниями, которые записываются в память компьютера, и наглядно выводятся на экран монитора. В память компьютера записано значительное количество патологических процессов и эталонов, что позволяет сравнить их по величине спектральной схожести и проводить диагностику. Этот метод имеет название NLS диагностика. На базе этого аппарата созданы и современные приборы: легендарный Оберон, современный Метатрон, Биотест-Маджерик, Паркес-Д, Биопатриот и разнообразные китайские клоны. Они осуществляют исследование органов и систем человека с визуализацией полученных результатов. Достоверность результатов исследования около 85%.
Замечательной возможностью метода нелинейного анализа (NLS) является и возможность медикаментозного тестирования. Исследовательская система обладает уникальными возможностями записать частотные колебания любого препарата и провести компьютерное сравнение по спектральным характеристикам одномоментно всех имеющихся в памяти компьютера препаратов (которых может быть до нескольких тысяч) с характеристиками патологического процесса и тем самым выявить наиболее эффективно действующее лекарственное средство.
Даже в тех немногих случаях, где клиническая симптоматика очень типична, метод NLS-диагностики вносит дополнительную информацию об обширности поражения и позволяет судить о прогнозе. В подавляющем большинстве случаев он имеет принципиальное значение для постановки диагноза и, соответственно, для правильного выбора лечения.
Метод существует давно, но имеет много и приверженцев и критиков в медицинской среде. Возможно, причиной является отсутствие стабильности, когда в одних руках результат исследований есть, а в других – нет. Но на квантовом уровне, а торсионные поля — это квантовый уровень, это ожидаемо. В ходе работы Юнг обнаружил, что даже пассивное наблюдение за квантовыми объектами фактически может изменить результат измерения. Эффект наблюдателя хорошо известен в квантовой механике: в зависимости от присутствия или отсутствия наблюдателя, электроны ведут себя двояко — или как частицы или как волны. Есть такой физический эксперимент как Квантовый ластик. Если информация о пути фотона существует - то фотон будет проявлять свойства частицы. Если информации о пути фотона нет - то будет проявлять свойства волны. Если информация о пути фотона была, но её стёрли, то фотон будет проявлять свойства волны. Даже если информация стёрта уже после окончания эксперимента.
То есть, можно влиять на то, будет фотон частицей или волной - стиранием информации, не влияя на установку, на которой этот эксперимент проводился. Коллапс волновой функции происходит, если информация есть. И не происходит, если информации нет. Так миру явился эффект наблюдателя, причиной которого является двойственная природа элементарных частиц, а наше представление о реальности с тех самых пор буквально трещит по швам.
Поэтому неудивительно, когда у одних экспертов NLS диагностика дает результат, а у других – нет. Вся сложность NLS диагностики в том, что идет анализ объектов на квантовом уровне. И если классическая физика — это точная наука, подчиняющаяся закономерностям, то в квантовой физике не детерминизм, а вероятность и случайность являются инструментом, и они влияют на конечный результат.
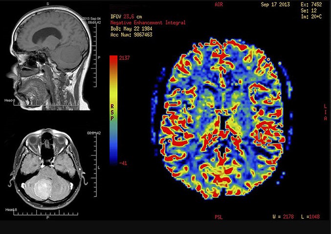
В случае анализа объектов, с использованием того же анализа частотных колебаний и резонансов, но в рамках Ньютоновской физики результаты становятся стабильными. Имеем в виду МРТ диагностика.
Ядерный магнитный резонанс (ЯМР) — резонансное поглощение или излучение электромагнитной энергии веществом, содержащим ядра с ненулевым спином во внешнем магнитном поле, на частоте ν (называемой частотой ЯМР), обусловленное переориентацией магнитных моментов ядер.
Одни и те же ядра атомов в различных окружениях в молекуле показывают различные сигналы ЯМР. Отличие такого сигнала ЯМР от сигнала стандартного вещества позволяет определить так называемый химический сдвиг, который обусловлен химическим строением изучаемого вещества. В методиках ЯМР есть много возможностей определять химическое строение веществ, конформации молекул, эффекты взаимного влияния, внутримолекулярные превращения.
Метод ядерного магнитного резонанса позволяет изучать и организм человека, анализируя изображения срезов тканей с отображением насыщенности их водородом. Способ основан на измерении электромагнитного отклика атомных ядер водорода, находящихся в сильном постоянном магнитном поле, в ответ на возбуждение 90° радиочастотным импульсом, отклоняющим намагниченность в поперечной плоскости. Слой исследования определяется направлением приложения градиента магнитного поля.
Ядро водорода имеет свой спин, который меняет свою пространственную ориентацию в мощном магнитном поле, при воздействии градиентных полей, и внешних радиочастотных импульсов, подаваемых на специфической для протона при данном магнитном поле резонансной частоте вычисляемой по уравнению Лармора, где 42,57 Гц умножаем на мощность аппарата в теслах. Прикладывая конкретную частоту, можно фиксировать резонанс только ядер водорода, которые и будут складываться в картинку на мониторе аппарата.
Результат исследования ЯМР повторяем и не зависит от субъективных составляющих потому, что проводится в рамках Ньютоновской физики.
Уже проведено множество исследований ряда объектов методом ядерного магнитного резонанса. Частотный спектр сигнала в этом случае характеризует состав изучаемого вещества, так как каждое вещество (химический элемент) характеризуется строго индивидуальной резонансной частотой.
Еще в 1972 году немецкий ученый Франц Морел предположил, что лекарства вырабатывают электромагнитное излучение. По его мнению, это излучение лежит в основе терапевтического действия препаратов. Он сделал вывод, что все органы колеблются на разной частоте, а лекарства «настраивают» их биоэлектрическую активность. Ученый предположил, что если на пораженные ткани воздействовать с определенной частотой, то их можно вернуть в норму.
Например, вещество Серотонин (гормон радости) производит колебания на частоте 39 689 680 216 119 300 000 000 000,000 Гц.
Базовую частоту можно поделить на 2 и каждый раз после деления будет звучать одна и та же нота. Одна нота, но в разных октавах. Чтобы передать частоту серотонина в организм (осуществить инфоперенос), можно задать любую субгармонику из списка. Самый эффективный диапазон 2,5-5 МГц, если использовать существующие DDS генераторы. Воздействовать можно непосредственно на тело пациента, а можно использовать феномен энергопереноса. Тогда для воздействия нужен образец ДНК пациента, который помещают в электромагнитную катушку-индуктор, сопротивление в катушке ~50 Ом.
Эта идея была реализована при разработке программно-аппаратного комплекса Spooky2 или машина Rife. Машина Rife использует принципы Royal Rife, блестящего ученого, жившего в прошлом веке. Он обнаружил, что микроорганизмы можно уничтожать с помощью частот. Он провел тысячи экспериментов, каждый из которых доказывал, что рак имеет вирусную причину и что повреждение этого вируса обычно приводит к излечению.
Все во вселенной имеет частоту колебаний, правильно ее называть резонансной частотой. Каждый микроорганизм (грибы, бактерии, вирус, паразит, амеба, плесень и т. д.) имеет уникальную и специфическую частоту. Когда вы передаете микроорганизму больше этой же частоты, это вызывает структурный стресс и возбудитель погибает. Машины Rife генерируют резонансные волны, которые уничтожают вредные патогенные организмы, не причиняя никакого вреда пользователям.
Программное обеспечение Spooky2 имеет самую большую в мире частотную базу данных, которая охватывает широкий спектр заболеваний. Сейчас база содержит более 40 000 программ и продолжает расти.
Программа Spooky2 посредством генератора формирует лечебную частоту, которая передается на катушку-индуктор в которой помещен фрагмент ДНК пациента (кровь, ноготь, и т.п.). Сам пациент может находиться на любом расстоянии от лечебного комплекса. Электромагнитные волны, формируемые генератором, вызывают отклик в тканях фрагмента ДНК пациента и аналогичный отклик возникает в теле пациента - донора этих фрагментов, возможно, за счет квантового переноса посредством торсионного поля. При длительной экспозиции формируется лечебный ответ, сообразно частоты воздействия. Это может быть эффект лекарства или гибель макроорганизмов и пр. Отмечу, что это работающая технология и в другом свете уже видится индийский культ кукол Вуду с возможностью дистанционного нанесения вреда и раскрывается возможная цель сбора биологического материала, осуществляемого американцами по всему миру.
Возможность воздействия на людей дистанционно через фрагменты их ДНК, даже если расстояние значительное, обусловлено квантовой запутанностью.
Квантовая запутанность или квантовая связь это явление, при котором квантовые состояния двух или большего числа объектов оказываются взаимозависимыми. Оно описывается уравнением Дирака. Если две системы взаимодействуют друг с другом в течение определенного периода времени, а затем отделяются друг от друга, мы можем описать их как две разные системы, но они уже существуют и как иная уникальная система. То, что происходит с одним, продолжает влиять на другого, даже на расстоянии многих световых лет. Две частицы, которые в какой-то момент были связаны, связаны навсегда. Несмотря на расстояние между ними, даже если они находятся на противоположных концах Вселенной, связь между ними мгновенная!
В программе Spooky2 есть возможность и непосредственного воздействия на тело пациента разными способами, есть возможность диагностики нарушений, осуществляемая поиском резонансов, обусловленных патологией.
Никола Тесла сказал, что, если вы хотите понять Вселенную, подумайте об энергии, частоте и вибрации. Авторы этих лечебных методов протаривают новые направления в медицине. Оно уже немного обжито. Есть физиотерапевтические методы лечения, но не хватает целостности представления и понятия значимости вибраций в бытии человека. И, конечно, недостаточно практических исследований, огораживающих показания для лечения и определяющие только безопасные методики, и формирующие этические границы использования воздействий.






Комментарии
реклама ???
вещество Серотонин (гормон радости) производит колебания на частоте 39 689 680 216 119 300 000 000 000,000 Гц.
Зуб даете?
Видимо, всю вставную челюсть.
Даже если учесть "запятую" перед последними "тремя нулями" (недостижимая без магии "точность" измерений), то это "частота" ~3,9*1025 Гц. Т.е. самое экстремально высокое из существующих гамма-излучений. Которое могут излучать какие-нибудь квазары или блазары (одни из самых энергетически мощных объектов во Вселенной). Серьезный "гормон радости".
Хотя, для впаривания "программно-аппаратного комплекса Spooky2" вполне себе сойдет. Прикольные же коробочки и проводочки - разве не? (а еще если целых "7% off" - то дайте сразу два).
Нет. Автор не описал методику измерения. А Резонансная частота зависит от "эффективного" (локального) магнитного поля. Да и точность измерения пока на таких высоких частотах далека от желаемой.
Ну и зачем тогда (вместо научного поиска для "восполнения пробелов в научном мировоззрении") заменять эти "пробелы" всей этой крайне идиотской дичью в виде наукообразной ахинеи такой степени маразма?
Да потому что научный поиск и восполнение пробелов перестали работать.
Пусть лучше уж так развивается это направление, чем никак.
Весь "маразм" начинается с химерного понятия Информация.
1. Есть объективный физический/химический сигнал.
2. Есть субъективная интерпретация сигнала Субъектом/учёным/животным.
Отсюда и в этой статье смесь реального (от Горяева) до фантазийного (от Эйнштейна с частотами квазаров).
Практика - критерий истинности теории. Надо избавиться от фиктивных теорий!
С благоговением отношусь к практике. Но в науке часто практические результаты, не укладывающиеся в доминирующую научную парадигму, просто игнорируют. Вот как раз мною затронутая тема имеет уже много практики. Но не имеет рациональной и общепризнанной теории.
"Информация является материальной категорией"
вот как такое встречаешь - сразу всё понятно. набор слов, никак не связанных, и ничего не означающих.
пустотная фраза
Пустотная фраза. Ой ли?. "В начале было Слово, и Слово было у Бога....и Слово стало плотью."
Куда ногти высылать? Меня устраивает дистанционное лечение на основе квантовой запутанности.
Деньги вышлю по результату лечения.
Опасно высылать даже ногти.
Их можно использовать для изготовления куклы Вуду.
А потом её начнут спаивать палёной самогонкой ...
Вот вы молодец. Правильно подметили возможную опасность. Как то сейчас, зная о технологии Споки2, по другому воспринимаешь навязчивое собирание биоматериалов на наших границах нашими "нетоварищами".
Печально. Человек впервые за пять лет на ресурсе набрался решимости изложить суть вопроса, которая его оч. волнует.
Подозреваю, что основательно собирал аргументацию.
Да, тема весьма не традиционна. Да всё это не обычно. Но заниматься вопросом нужно.
Всё новое и не обычное пробивается оч. проблемно.
Реагировать любым образом на острую критику не стоит.
Время всё разложит по полочкам.
Пы. Сы. да, и если бы не откровенная реклама конкретного прибора, то информация могла бы лечь в подкорку и тем, кто был агрессивен.
Спасибо за взвешенный комментарий. Тема мне интересна. Я ей занимаюсь. Прибор я не рекламирую. Ссылка на него приведена для понимания, что в мире в этом направлении уже много чего делается, но вменяемого научного обоснования пока нет. У меня на подходе еще одна статья про ЭТО. Думаю, будет весело...
А чем imedis не угодил?
Про Имедис и про другое будет следующая статья. Кому не терпится, можно заглянуть в телеграмм LazGenNLS. Там много чего есть интересного.